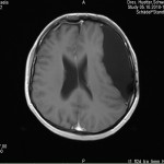
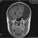
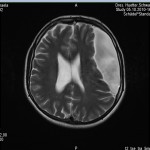
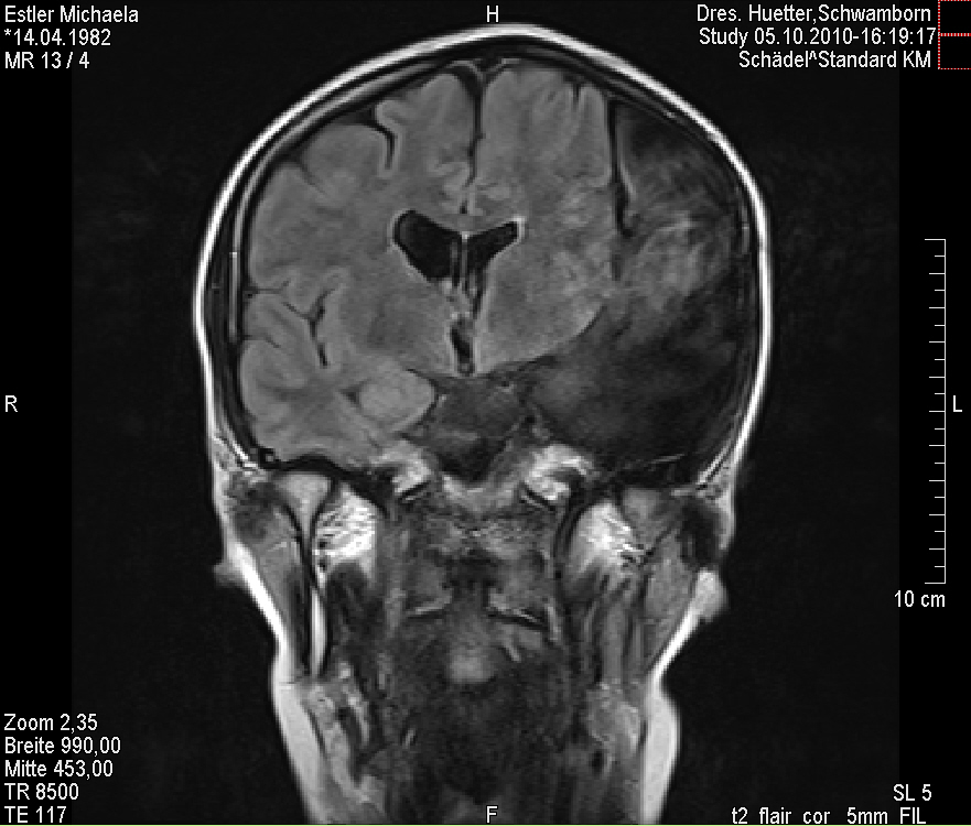
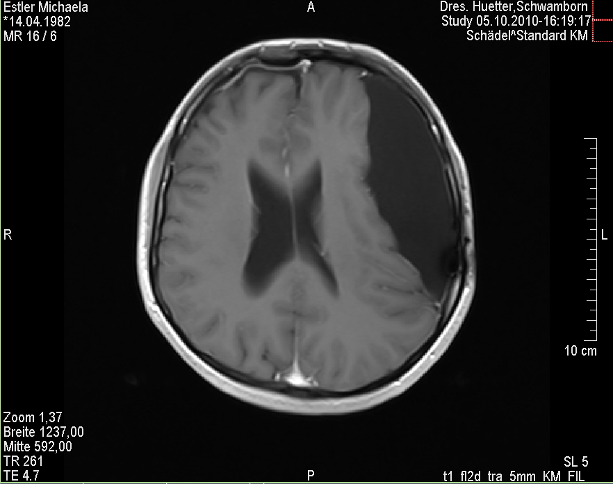
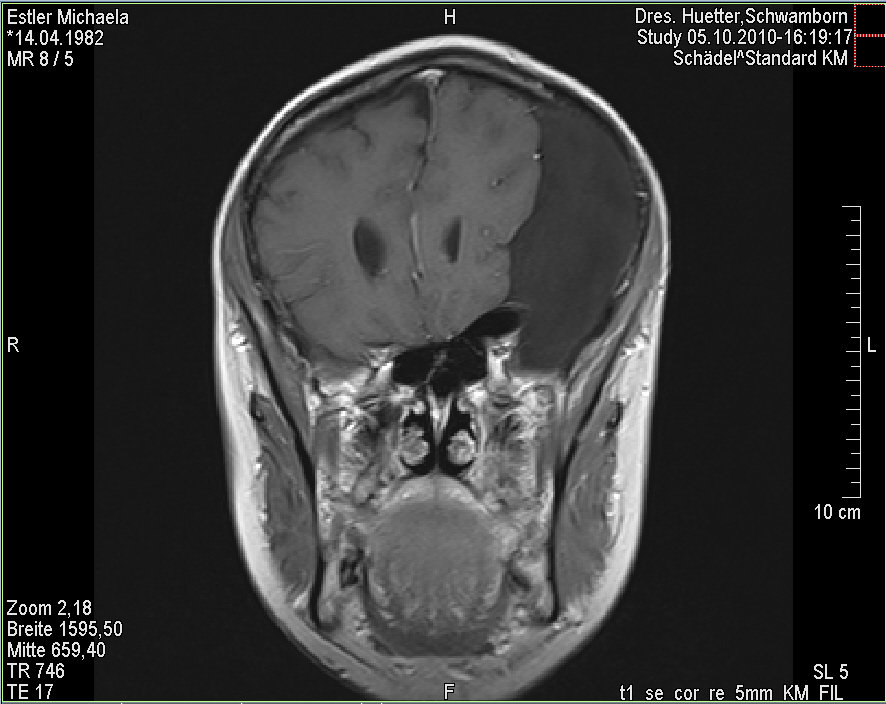
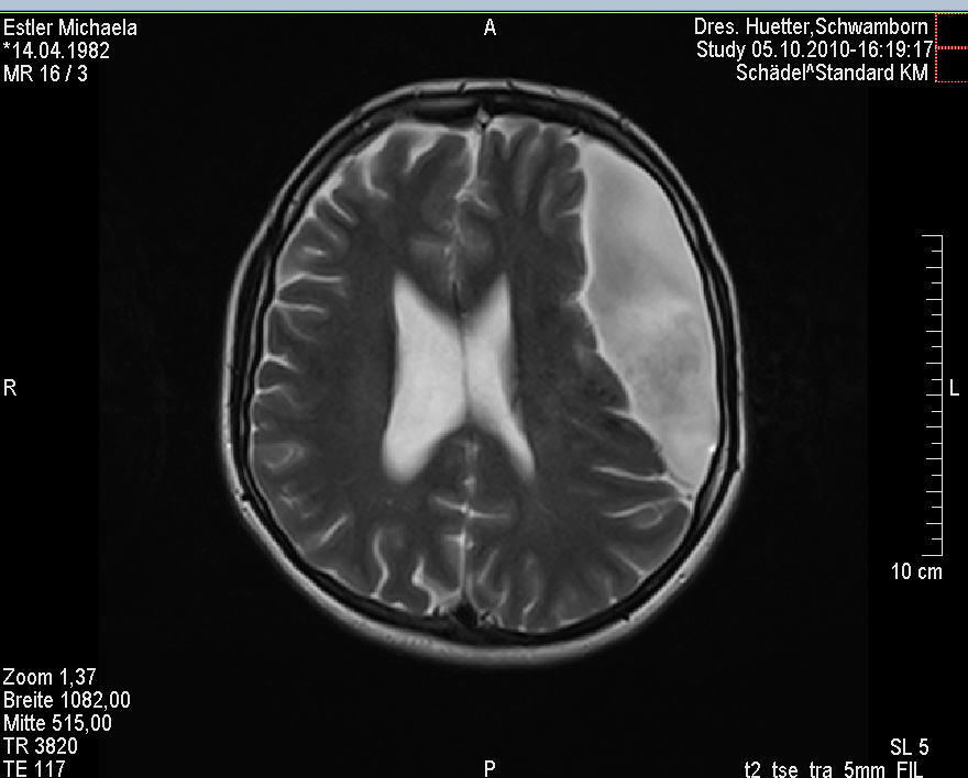
was mich heute erwartet bei meiner alle drei Monate stattfindenden MRT Untersuchung meines Untermieters. Tja und nun habe ich es schwarz auf weiß hier vor mir auf dem Bildschirm. Mein Untermieter nimmt sich so langsam wirklich einiges raus. Fast zu viel meiner Meinung nach. Der breitet sich immer mehr und weiter aus und das passt mir so langsam überhaupt gar nicht mehr :echt:
Ich stell euch hier noch eine kleine Galerie rein mit den neuesten Bildern. Ich denke es ist unübersehbar, dass das Ding gewachsen ist, außerdem mir meine komplette Hirnmittelline verschiebt und immer mehr Rücklagerung bekommt und Richtung Hirnsteuerungszentrum drückt. Meine häufiger auftretenden Stürze und Koordinationsprobleme werden also in naher Zukunft sicherlich nicht weniger werden und mein Doc und ich werden uns wohl auch zeitnah über eine weitere Klinik und eine mögliche weitere OP unterhalten müssen.
Naja das war es erst einmal heute von mir. Muss mein Kontrastmittel noch ein bisschen verdauen. Außerdem habe ich eine echt übelst schmerzhafte Muskelentzündung am und um das rechte Schulterblatt. Alles doof gerade.
Grüße
– Michaela









2 Comments
Angi
5. Oktober 2010 at 22:52Huhu Michaela,
hmm, das sieht ja wirklich nicht so toll aus. Entschuldige, wenn ich mal ganz dumm frage, weil ich bin ja kein Mediziner und kenne die Geschichte deines Untermieters nicht von Anfang an. Ähm, eine Zyste ist doch mit Flüssigkeit gefüllt, soweit ich informiert bin. Könnte man diese Flüssigkeit nicht absaugen, sodass praktisch nur die Hülle übrig bleibt? Oder füllt sich das Ganze dann wieder neu?
Es tut mir wirklich leid für dich, dass du sowas Blödes haben musst. Drück dich mal. :freunde:
LG.
Angi :blume:
Michaela Estler
6. Oktober 2010 at 13:18Hallo Angi,
das ist bei mir ne Mischung aus Wasser und Gewebe. Das Thema ist, dass man die Flüssigkeit nicht einfach rausmachen kann, da sonst ein aktuer Unterdruck im Gehirn entsteht und das Gehirn reißen kann. Und dass ich dann nicht mehr all zu gut dabei aussehe denke ich erübrigt sich hier zu erwähnen….
Man hat in einer ersten OP damals schon mal einen halben Liter Flüssigkeit entzogen und dann gehofft, dass das gequetschte Gehirn sich wegen dem nachlassenden Gegendruck wieder weiter ausdehnt, aber das ist nicht passiert. Im Gegenzug hat die Zyste sich weiterhin wieder mit Wasser gefüllt und den entfernten halben Liter plus noch ein bisschen mehr wieder „nachgelegt“……
:traurig: