Also ich weiß ja nicht wie es Euch geht, aber dieses Wetter macht mich so langsam dann doch echt kirre. Zuerst hatte es ja vor und nach dem Soundgarden wirklich tagelang nicht wenig geregnet und nun war es auf einen Schlag wieder unsäglich heiß. Tropische Hitze schon fast. Draußen wirklich kaum auszuhalten. Eigentlich sollte ich mal meinen Garten wieder mähen, aber aktuell ist das echt ein Ding der Unmöglichkeit. Für meinen Kopf ist das Wetter natürlich auch mehr als gewöhnungsbedürftig und meine Hunde sind nach jedem Spaziergang auch mehr als froh einfach nur direkt wieder ins Kühle zu kommen und die Temperaturen wieder einigermaßen in den Normalbereich zu bekommen. Jetzt heute und auch die nächsten Tage soll es wieder enorm gewittern und dabei wieder abkühlen. Da soll einer mal mitkommen. Keine Wunder spielt die Natur und das Klima mehr als ein bisschen verrückt und überall gibt es so langsam immer größere Klimakatastrophen. Selbst bei uns hier war vor ein paar Wochen einiges überschwemmt und geflutet (natürlich lange nicht so viel und heftig wie jetzt in andere Teilen Deutschlands) und nun wieder unsägliche Hitze und tropische Schwüle.
Aber nun ja, man muss es nehmen wie es kommt. Ändern können wir es ja sowieso nicht. Genau so wie auch die Corona Sache. Die Zahlen steigen auch bei uns hier im Landkreis wieder an. Allerdings ist kein weiterer Lockdown in Sicht, sondern eher sogar wieder ein weiteres Zurückkehren zur Normalität, gerade auch für Geimpfte. Ich bin, wie so viele andere in meiner Familie und in meinem Freundes- und Bekanntenkreis nun schon länger zweifach/vollständig geimpft und somit gilt es für mich künftig den Impfnachweis (digital) mit dabei zu haben, aber ansonsten sind keine massiven Einschränkungen für mich zu erwarten. Das Leben geht also irgendwie weiter, mit Corona. An die Maske im Einkaufsladen etc. hat man sich inzwischen gewöhnt, genau so auch an anderen Orten. Ich glaube jeder von uns hat inzwischen auch mehr als eine davon irgendwo in seinem Auto rumliegen![]()
Bei mir war die letzten Tage ein bisschen mehr los als sonst. Oder das was ich getan habe hat mich ein bisschen mehr angestrengt, das kann natürlich auch sein. Die Tage und die Punkte auf der To-Do Liste vergingen und an manchen Tagen war ich die meiste Zeit aber auch einfach nur in meiner Dunkelkammer. Ihr wisst ja, dass die grelle Sonne manchmal für meinen Kopf und die „Verarbeitung“ nicht ganz so glücklich ist und ich deshalb dann lieber auch einfach gerne mal im Haus mich befinde. Die letzten Tage/Wochen waren auch mal wieder voll von so manchen Gedanken. Keine ganz speziellen Gedanken aufgrund von irgendwelchen bei mir eintretenden akuten Geschehnissen, nein, sondern einfach eher Gedanken, denen ich immer wieder mal nachgehängt bin. Gedanken unterschiedlichster Art.
Ich denke viele von Euch haben den Skandal bei den olympischen Spielen im Modernen Fünfkampf mit der deutschen Reiterin, deren Trainerin und dem zugelosten Pferd mitbekommen. Das hat mich auch ein bisschen nachdenken und grübeln lassen. Wie weit ist es denn mit dem olympischen Gedanken „Dabei sein ist alles“ eigentlich inzwischen gekommen? Ich meine natürlich verständlich, dass man, wenn man so kurz davor steht sich seinen Goldtraum erfüllen zu können, es dann auch erreichen möchte. Ich meine ein bisschen Ehrgeiz gehört ja immer dazu. Aber mal davon abgesehen, dass ich es eh nie so ganz verstanden habe, wieso einem da die Pferde zugelost werden und dann noch eben eine eigentlich an sich komplett eigene Sportart (das Springreiten) damit „vollzogen“ werden soll. Ich meine sind wir doch mal realistisch. Die Sprung Hindernisse waren ja wirklich nicht gerade niedrig und es ist nicht umsonst auch eine eigene Sportdisziplin bei den Olympischen Spielen. Zwischen Tier und Mensch muss ein Vertrauen vorhanden sein. Eine Teambasis, eine Freundschaft, auf eine gewisse Art und Weise eine Beziehung. Wie soll das denn bitte funktionieren mit einem zugelosten Pferd? Dass das nicht gerade „juhu ole“ schreit wenn auf einmal eine Person auf ihm sitzt, dass es so nicht kennt müsste doch eigentlich selbstredend sein oder nicht? Ich meine, auch wenn der Vergleich jetzt irgendwie blöd ist, aber das ist ja fast so, wie wenn ich jetzt mit Elvis zum Beispiel beschließe bei einem Workingtest zu starten und dann aber vor Ort, alle gemeldeten Hunde in einen Lostopf geschmissen werden und dann jeder Starter „seinen“ Hund mit dem er die Prüfung zu absolvieren hat zieht. Das würde auch nie und nimmer wirklich gut funktionieren, oder zumindest nicht so, dass der der Hund blind dem Führer vertraut oder eben auch anders herum. Jedes Tier hat doch seinen eigenen, individuellen Charakter den es auszeichnet. Nun ja, ich könnte mich jetzt wohl noch stundenlang diesbezüglich auslassen, aber das muss ja nicht sein. Ich hatte auf alle Fälle teilweise vor lauter Kopfschütteln fast schon ein Schleudertrauma. Ehrlich. Umso erschreckender auch für mich zu hören, dass entschieden wurde, dass die Disziplin auch künftig genau so weitergeführt werden soll bei den Olympischen Spielen.
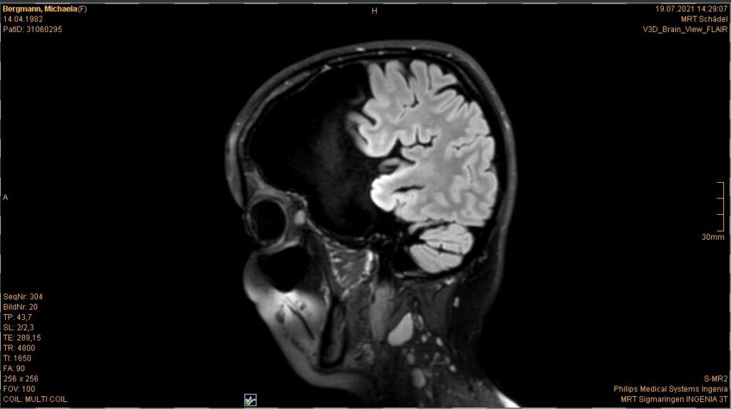
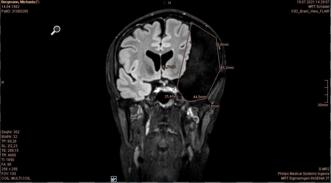
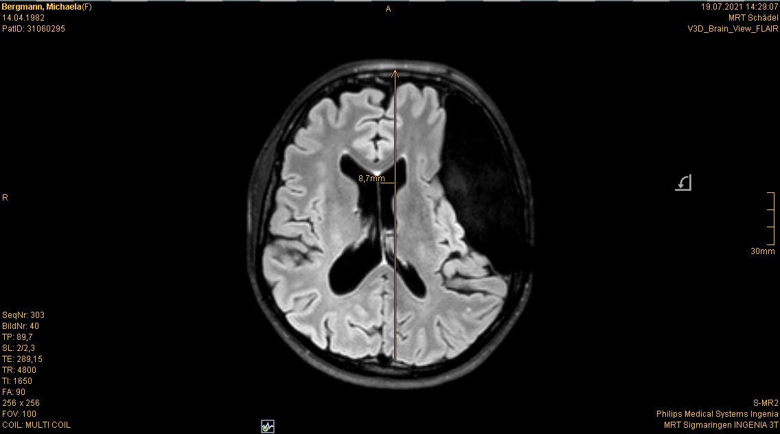
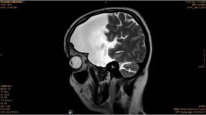
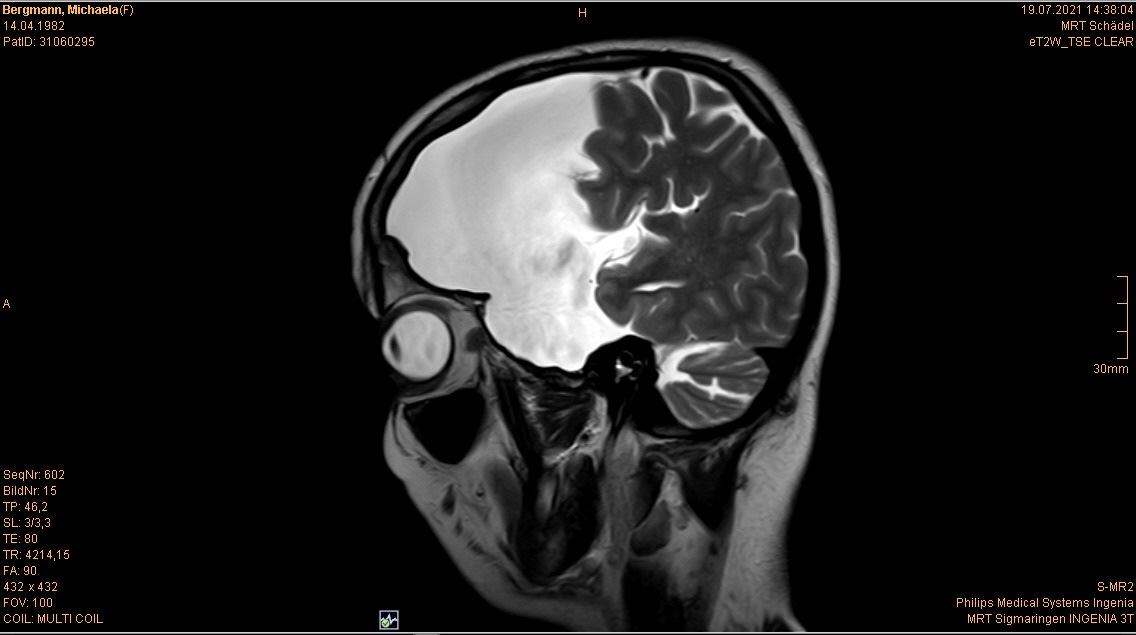
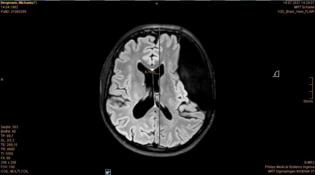
Im Juli stand ja auch noch mein jährliches Kopf MRT an. Ist ja schon quasi „same procedure as every year“. Es gab nichts überraschend Neues oder so. Wenn man es optimistisch sieht kann man sagen: Unverändert. Wenn man es realistisch sieht: gleich beschissen wie vorher
Für alle, die sich neu hier auf meinem Blog tummeln und schon an der ein oder anderen Stelle von meinem „Untermieter“ gelesen haben, sei er hier noch einmal mit den aktuellsten Bildern „vorgestellt“

Die Bilder sind also die aktuellsten vom 19.07.2021. Ja ich weiß, der ist ja riesig, ja ich weiß, dass das ja echt shit ist usw. usw. Aber das weiß ich nun schon seit dreizehn Jahren und ich habe mich damit arrangiert und abgefunden. Womit wir zum nächsten Gedankenthema kommen.
Es ist für mich ja nicht mehr schockierend, wenn ich die Bilder sehen, denn ich weiß ja was mich erwartet. Aber für den ein oder anderen Außenstehenden oder mich noch nicht kennenden Mitarbeiter in der Radiologie im Krankenhaus ist das doch schon immer wieder was Besonderes. Und als ich dieses Mal so den MRT Gang entlang schritt und herein gerufen wurde, wusste die eine Mitarbeiterin, dass ich nun schon zum 37sten Mal das ganze Prozedere über mich ergehen lasse und sagte dementsprechend nicht mehr viel zu mir (bzgl. alles mit Metall muss ausgezogen werden vorher, dann wird der Kopf mit einer Art Kopfkäfig fixiert, dass man ihn während der Aufnahmen nicht bewegt usw.). Es läuft alles wie eine Art Routine und im stillen Einvernehmen zwischen uns ab. Der andere Mitarbeiter der da war, war sichtlich irritiert. Und wollte mir zuvorkommen und mich aufklären, wusste aber auch nicht ob er das, weil seine Kollegin (wohl auch seine Vorgesetzte) schwieg, irgendwie nicht richtig wäre usw. Während ich dann immer so im MRT liege und die Bilder gemacht werden (das dauert dann immer gut so zwanzig Minuten) gehen mir auch meist zig Sachen durch den Kopf. Ehrlich gesagt keinerlei Gedanken bzgl. des MRTs selbst, sondern eher bzgl. dem was seit meinem letzten Besuch hier mal wieder alles so los war und passierte.
Mein Arm hat dieses Mal ein bisschen gelitten, aber es ist halt auch immer schon nicht ganz so einfach bei mir irgendwo irgendwelche anzapfbare Adern zu finden.
Aber es ist wieder gut verheilt. Keine Ahnung wieviele Einstichlöcher ich jetzt auch inzwischen schon in meiner linken Armbeuge habe. Schon skuril irgendwie. Jahr für Jahr dasselbe Spiel und wenn ich dran denke, dass die Kopf OP im Oktober nun auch schon dreizehn Jahre her ist, dann muss ich ehrlich sagen, dass ich zwar im unglücklichen 13ten „offiziellen“ Jahr jetzt bin mit meinem Untermieter, aber viele Menschen, mit denen ich mich umgebe es nie wirklich (Gott sei Dank) thematisieren, aber wenn es drauf ankommt doch drüber Bescheid wissen. Für mich ein klarer Vorteil ist schon irgendwie auch, dass man mir das Ganze von Außen auch gar nicht ansieht. So geht es, gerade bei Menschen, die ich neu kennenlerne in erster Linie dann doch irgendwie erst einmal um mich als Menschen und das ist auch gut so. Ich werde nicht gerne auf meine Untermietersache reduziert. Natürlich hat sie mein Leben maßgeblich verändert und beeinflusst, aber ich denke ich habs nach all den Jahren ganz gut im Griff. Und mal ehrlich – wenn ich Euch jetzt so im Wald beim Spazieren gehen mit meinen Hunden begegnen würde, würdet ihr sicherlich nicht von so was ausgehen oder? ![]()

Bei meinen Hühnerdamen ist auch alles soweit schick. Bis auf Hermine legen inzwischen alle Damen. Ich denke bei Hermine wird es aber auch nicht mehr all zu lange dauern. Sie wird aktuell noch ein bisschen untergebuttert von den anderen, aber ich denke das liegt auch daran, weil sie eben noch nicht zu 100% geschlechts- und legereif ist. Gundel war letztens sogar ein bisschen gluckig und wollte unbedingt brüten. Aber das geht nicht. Zum einen habe ich keinen Hahn und somit sind die Eier alle unbefruchtet und zum anderen habe ich auch nicht vor Küken zu haben und die Hühnerschar zu vergrößern. Tja und so war Gundel also gluckig, besonders anhänglich und dann musste ich mit ihr ein Gespräch unter vier Augen führen und ihr klar machen, dass ihre Hormone gerade ohne Grund verrückt spielen und sie lieber den Tag draußen an der frischen Luft im Auslauf bei Fressen und Trinken genießen soll und nicht den ganzen Tag im Legenest sitzend und Essen und Trinken verweigernd.
Nach drei Tagen war sie dann Gott sei Dank hormonell nicht mehr so durch den Wind und hat es dann auch wieder vorgezogen einen schönen Hühneralltag im Auslauf mit den anderen Damen zu genießen. Ich stehe häufiger einfach nur im Hühnerauslauf und beobachte die Damen. Wenn ich daran denke was es am Anfang für ein Gehacke und für eine Unruhe war etc., so ist es für mich jetzt doch wirklich schön zu sehen, wie sich das Ganze entwickelt hat. Jede der Damen hat wirklich seine ganz eigene Art und Weise und Charakter. Ich denke manchmal wirklich, dass wir Menschen in gewissen Situationen wirklich viel von Tieren lernen können über Verhalten in manchen Situationen. Ich bin auf jeden Fall sehr froh und happy über meine fünf Vorwerk Hennen in meinem Garten. Ich hoffe sie bleiben mir noch lange erhalten.
Menschenbegegnungen gab es die letzten Wochen auch. Sowohl neue Begegnungen und Kontakte, wie auch teils schon länger zurückliegende und neu belebte. Eine emotionale Mischung aus allem irgendwie. Mal sehen welche der Kontakte die nächsten Wochen mit überdauern werden. Manchmal ist es ja eine gewisse Zeit eher viel und ständig. Aber der wahre Kontakt wird sich erst über die Zeit hinweg dauernd zeigen. Ich bin müde von nur textuellem, Messenger getriebenen Kontakt. Mir ist es viel lieber und wichtiger mit den Menschen persönlich zu telefonieren oder mich zu treffen. Aber ich habe auch in letzter Zeit gemerkt, dass es nicht erzwungen, wohl dosiert und für beide Seiten bereichernd sein muss. Wenn einem einfach nicht gerade danach ist, dann ist es halt einfach auch so. Ich für mich werde die kommende Woche wohl mal wieder ein bisschen mehr Zeit nur für mich und meine Hunde/Hühner nehmen. Ich hatte die letzten zwei Wochen durch Soundgarden und ein paar anderen Dingen, viel Kontakt, auch gerade viele auf einmal innerhalb kürzester Zeit. Das muss ich irgendwie erst noch alles speichern und ein bisschen sacken lassen. Und deshalb werde ich jetzt die Woche wohl ein paar weniger Worte wechseln, ein bisschen mich mehr auf mich selbst besinnen.
Meinen Garten möchte ich auch noch mähen die Woche. Das Gras ist wieder ziemlich gewachsen durch das Wetter. Und dann möchte ich auch noch ein bisschen meine Hochbeete „überarbeiten“ und auffrischen, meine Wäsche waschen, versorgen und wieder auf einen „Stand“ bringen. Und wenn ich dann noch viel Zeit habe möchte ich mich auch mal noch daran wagen ein bisschen weiter meine Kisten auf dem Dachboden nach und nach nochmal ausräumen, sortieren, ausmisten und auch irgendwo neu packen.
Diese Woche habe ich auch noch einige Gläser Aprikosen Chutney eingekocht. Aprikosen, Möhren, Frühlingszwiebeln, Knoblauch, Weisswein, Orangensaft, Gelierzucker, Ananas Curry, gelbe Senfkörner, Kardamom Körner, frischer Pfeffer, Salz. Eine pikant/süssliche Kombination. I like it.

Wer mich ja schon länger kennt weiß, dass ich jedes Jahr die unterschiedlichsten Chutneys einkoche mit allem was mein Garten so hergibt. Ich finde es einfach schön wenn man irgendwie das ganze Jahr dann was aus seinem Garten genießen kann. Es ist quasi für mich eine Möglichkeit und Art Dinge aus meinem Garten und die damit verbundenen Gedanken und Sinne zu genießen.
Wie ihr seht versuche ich immer wieder meine Gedanken und Eindrücke in irgendwelcher Art und Weise zu konservieren, haltbar und nachhaltig zu machen. Wer wie ich schon mal längere Zeit Erinnerungen verloren hatte weiß, wie wichtig solche, scheinbar noch so kleinen Dinge im Leben sind und dass man auf eine gewisse Art und Weise immer und immer wieder davon zehren kann in unterschiedlichsten Momenten und Lebenslagen.
Das Leben im Hier und Jetzt mit schönen Erinnerungen vom Vergangenen. Das ist es was einen zufrieden machen sollte. Und manchmal sollte man dabei nicht gedanklich eigentlich schon bei dem Morgen sein.
Deshalb möchte ich Euch heute hier und jetzt den, wie ich finde, passenden Song „Forget Tomorrow“ von den Mighty Oaks mit auf den Weg geben und euch für morgen einen guten Start in die neue Woche wünschen.
Habt Sonne im Herzen und denkt ab und an auch einfach an Euch selbst und was Euch gut tut.
– Michaela







No Comments