Gestern war es mal wieder an der Zeit ins Krankenhaus zu gehen, meine Freunde in weiß zu besuchen und dank MRT meinem Kopf Untermieter mal wieder einen Besuch abzustatten und nach zu sehen was er gerade so treibt. Mittlerweile habe ich mich mit meinen Ärzten ja Gott sei dank drauf geeinigt, dass wir das nicht mehr vier Mal im Jahr machen, sondern aktuell nur noch einmal im Jahr (bei Bedarf natürlich mehr) um einfach meinen Körper auch mit den vielen Kontrastmittelgaben zu verschonen. Denn bis der Cocktail immer wieder aus meinem Körper draußen ist dauert das ein Weilchen und wenn es dann auch noch so sommerliche Temperaturen wie aktuell sind ist das noch unangenehmer.
Pünktlich um 8:45 Uhr bin ich dort also aufgeschlagen.
Ironischer Weise hätte ich direkt ein Familientreffen dort machen können, denn es war noch genau ein Parkplatz auf der ganzen Anlage frei und der war genau neben dem Auto meines Dad’s, der dann auch noch gerade als ich ausgestiegen bin zum Auto zurück kam. Er hatte meine Mum für eine Untersuchung abgeliefert und nun war also auch noch das jüngste Mitglied aus der Familie ebenfalls im Haus. Da mein Dad dann zur Arbeit musste hatte er im Krankenhaus meine Telefonnummer bei den Ärzten wo meine Mum war angegeben für den Fall, dass man wen erreichen müsse. Ich sagte dann nur, dass sie auch einfach dann ein Stockwerk tiefer kommen müssten, da ich mich dort aufhalten werde. – was für eine Ironie oder? ![]()
Die ganzen Radiologischen Gerätschaften stehen im KH im Untergeschoss. Und die Atmosphäre dort ist – nennen wir es mal – sehr steril und abgeschieden. Manchmal frag ich mich, ob die das extra so gemacht haben, dass man manche Leute wenn sie schreien oder so nicht hören kann. Jaaaaaa ich weiß, ich soll nicht so nen Sch… sagen, aber hey mal ehrlich – bei den Gängen und Bildern was würde da Euch so alles durch den Kopf schießen wenn ihr da zur Untersuchung durch und lang laufen müsst ![]()
Bei der Anmeldung angekommen brauchte es von meiner Seite aus keinerlei Worte. Man kennt sich so langsam. Die Prozedur ist auch immer dieselbe. Und so harrte ich der Dinge bis das MRT gestartet wurde. Schon verrückt. Manche Leute im Wartebereich sitzen da und wissen überhaupt nicht was auf sie zukommt, haben, so wie ein Mann gestern mit 56 Jahren, das erste MRT ihres Lebens und ich sitze dort mit meinen 35 Jahren und hatte gestern jetzt dann doch schon das 37ste MRT meines Lebens. (also jetzt Kopftechnisch gesehen. Hatte auch schon das ein oder andere wegen meinem Knie bzw. Schienbeinkopfbruch) Mehr MRT’s wie Lebensjahre. Schon wirklich sehr skurril!
37 Mal Kontrastmittelcocktails, 37 Mal diese Kopfschmerzverursachenden Geräusche, 37 Mal den Kopf mit einer Art Käfig und Schraubzwingen zum Stillhalten fixiert, 37 Mal Bilder von meinem Untermieter im Kopf, der mein Leben seit Bekanntwerden auf den Kopf gestellt hat und 37 Mal ein Befund in dem es schwarz auf weiss steht dass mein Untermieter definitiv vorhanden ist. ![]()
Gestern war bei den ganzen Arzthelferinnen eine neue Mitarbeiterin dabei, die ich noch nicht kannte. Sie war schon ein bisschen verwundert wie gut ich mich doch schon dort auskannte, es keinerlei Erklärungen mehr bedurfte bis ich dann untersuchungsbereit war usw. Und als ich dann so im MRT lag und die Untersuchung lief konnte ich folgendes beobachten: Wenn man im MRT liegt ist dort so ein kleiner Spiegel angebracht, der es einem ermöglicht in dieser engen Untersuchungsröhre quasi über einen Umweg (eben über den Spiegel) nach draußen durch ein Fenster den Nebenraum zu sehen, in dem die Helferinnen an einem Monitor beobachten wie deine Untersuchung läuft, ob die Bilder gut sind, etc. Die ersten Sequenzen meines Kopfinhaltes wurden auf dem Monitor sichtbar und man konnte genau sehen wie die neue Kollegin etwas ungläubig auf den Bildschirm starrte. Dann rief sie eine Kollegin hinzu (die mich schon länger kennt), die ihr dann, den Gestiken nach zu urteilen erklärte, dass das nichts neues wäre, was dort zu sehen wäre, was die Kollegin irgendwie nicht so wirklich glauben wollte. Also holte sie noch den Radiologen, der mit mir immer mal die Bilder nach der Untersuchung anschaut, hinzu und scheinbar wurde dann für die neue Kollegin dann eine kleine „Anschauungslerneinheit“ gemacht. Der Doc zückte einen Stift und erklärte und erläuterte immer wieder auf den Monitor deutend was bei mir alles im Kopf so los wäre. Ist doch immer wieder schön wenn ich der Wissenschaft und Veranschaulichung dienen kann.
So hat die ganze Sache wenigstens auch noch einen positiven Nutzen.
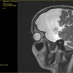
Für diejenigen von Euch, die es auch immer wieder mal interessiert wie es in meinem Kopf aussieht, habe ich hier zum einen mal drei der vielen Bilder von gestern
Außerdem gibt es die Möglichkeit mal eine kurze „Durchreise“ durch meinen Kopf zu machen. Dafür habe ich Euch hier mal zwei Screeningsfrequenzen von gestern hochgeladen. Einmal Frontal und einmal seitlich. Bei der Frontalsequenz ist es so als ob ihr quasi von vorne durch mein Gesicht nach hinten durchschaut. Deshalb ist mein Untermieter somit auf der rechten Seite in den Aufnahmen zu sehen (eigentlich nicht zu übersehen so groß und in dem Fall schwarz er auf den Aufnahmen ist). Bei der Seitensequenz schaut ihr quasi von der linken Seite meines Kopfes hindurch bis zur rechten. Sozusagen so, als ob ihr mir von meiner linken Schulter kommend hindurch bis zur rechten Schulter durchläuft. Da die Aufnahmen von der linken Seite her kommend sind läuft ihr quasi direkt im Untermieter beginnend los und deshalb habt ihr da erst mal dann in voller Größe eine schwarze Fläche an Untermieter bevor die ungefähr Höhe Nase in einen „normalen Bereich“ wo dann im kompletten Schädel Hirnmasse zu sehen ist – meiner rechten Hirnhälfte – durchläuft.
Tja das sind nun wenige Teile der gestern neu gemachten Aufnahmen. Ich denke unschwer zu erkennen, dass mein Untermieter sich nach wie vor in voller Pracht präsentiert. Auch der Doc meinte gestern so, dass es immer wieder erstaunlich wäre. Er selbst hätte in seiner ganzen Karriere noch nie einen Untermieter solchen Ausmaßes gesehen. Ich bin mir sicher, der wird mich in seinem ganzen Leben nie vergessen. ![]()
Wir hatten gestern auch mal wieder das Thema erneute OP auf dem Tisch. Sprich, nochmal den Schädel öffnen, da mal wieder ca. 1/2 Liter Flüssigkeit rausnehmen und dann schauen wie sich das weiter entwickelt. Aber auch der Doc ist momentan derselben Meinung wie ich. Fakt ist, dass mein Untermieter sich tendenziell leicht umgelagert hat nach hinten, Richtung Hirnsteuerungszentrum. Die Hirnlamellen sind auf Grund der Hitze noch mehr angeschwollen als sonst und machen es ein einfach platztechnisch noch ein bisschen enger als eh schon. Dennoch macht die Wiederholung einer OP, die beim ersten Mal nicht von Erfolg gekrönt war (ausser dass ich für in Summe vielleicht vier Monate ein bisschen weniger Druck auf dem Schädel hatte) keinen Sinn. Die Risiken während der OP sind einfach viel zu hoch und die ganzen benötigten „Wiederherstellungs“ Maßnahmen, die nach der OP gemacht werden müssen (Gleichgewichtssinn schulen, Räumliche Tiefen neu erlernen, etc.) sind im Verhältnis zu den max. vier Monaten weniger Druck dazu gesehen viel zu aufwändig und langwierig. Deshalb wurde eine weitere OP in der Art abgelehnt (beiderseits – sowohl von mir als auch vom Arzt). Das soll nicht heißen, dass ich generell eine weitere OP ablehne – nein das tue ich nicht. Aber so lange es für mich keine Aussicht auf ein deutlich längeres Anhalten von Besserung der Beschwerden gibt als vier Monate sind die Risiken im Verhältnis einfach nicht vertretbar.
So bleibt für mich, gerade jetzt im Sommer und an heißen Tagen, einfach nur weiterhin die Signale meines Körpers und Kopfes rechtzeitig und vorbeugend zu lesen/deuten und auch einfach mal „nein“ zu sagen und immer wieder Auszeiten zu nehmen, an denen ich nichts tue und z.B. wenn nötig auch einfach den ganzen Tag mich in einem abgedunkelten Zimmer hinlege. Nach nun mehr als neun Jahren habe ich das so langsam auch gelernt, dass es nichts bringt zu viel und mehr erledigen oder erleben zu wollen, als das der Körper fähig ist.
Auf Grund dessen läuft hier auch heute bei mir alles auf Sparflamme. Mein Rücken ist nämlich immer noch mehr oder weniger bescheiden. Das auf der Metall Liege liegen müssen gestern hat seinen nötigsten Teil zu der Sache beigetragen und ich war dann auch erst einmal wirklich sehr dankbar, dass ich nach den Untersuchungen und Besprechungen was Essen und dann auch wieder eine Schmerztablette nehmen konnte. Ich war dann noch kurz mit den Hunden draußen und dann galt hier in der Wohnung erst einmal ein allgemeines Pause machen und hinlegen. Und zwar für den restlichen Nachmittag.
Auch heute hat mein Kopf noch mit den Restfolgen der Untersuchungen zu kämpfen und die Hitze draußen ist auch schon wieder fast unerträglich. Deshalb wird sich der heutige Nachmittag nicht so wirklich anders zu dem gestrigen gestalten.
Soweit die Neuigkeiten über den gestrigen MRT Tag. Ich wünsche Euch jetzt erst einmal einen nicht all zu heißen und unerträglichen Dienstag Nachmittag!
Liebe Grüße
– Michaela









1 Comment
Pia
1. August 2017 at 19:02Oh Mann! Ich finde das gut, wie abgeklärt und scheinbar emotionslos Du davon berichten kannst. Ich hoffe, dass es Dir noch lange so gut geht, dass Du nicht verzweifelst und aufgibst.
Liebe Grüße,
Pia