wisst ihr wie ich diesen Satz hasse??? Heute Morgen habe ich ihn wieder gehört. Und auch als Bestätigung dafür gleich noch ein paar Einstichslöcher gratis bekommen. :boese:
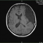
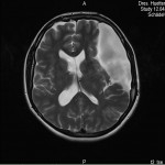
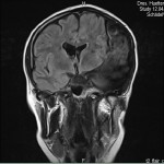
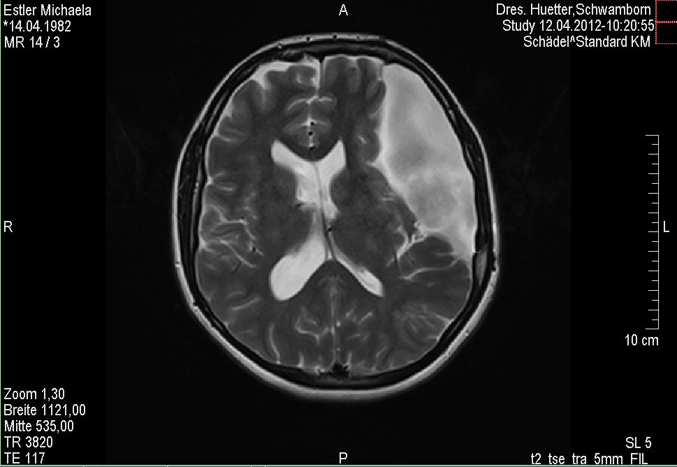
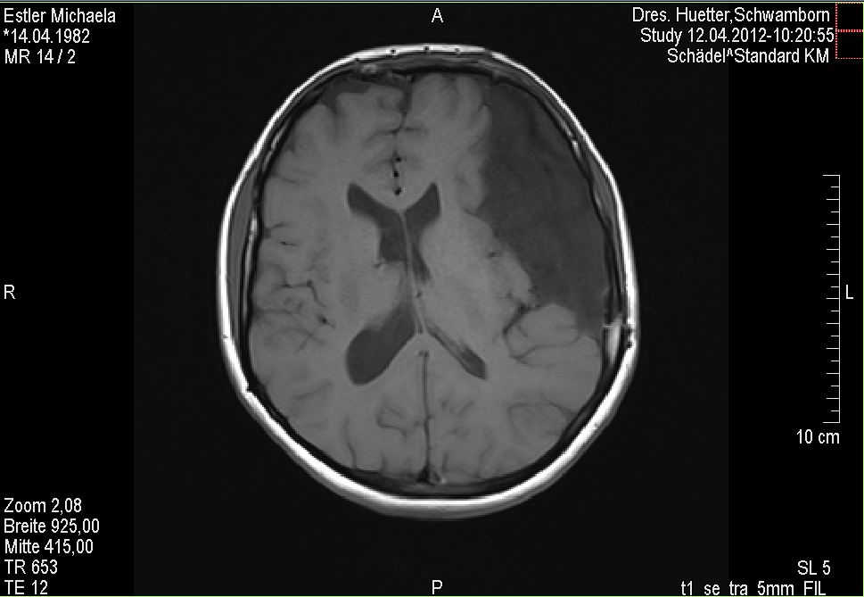
Es war MRT Tag heute. Für diejenigen unter Euch, die es noch nicht wissen sei an dieser Stelle gesagt, dass ich alle zwölf Wochen ein MRT meines Kopfes erstellen lassen muss, damit ich immer weiß, was mein Untermieter in meinem Kopf so schönes treibt, ob er weiterhin Wachstumsambitionen hat usw. Tja und bei solch einer Untersuchung bekommt man ca. nach Hälfte der Zeit einen netten Kontrastmittelcocktail gespritzt, damit manche Dinge auf dem Screening hervorgehoben werden etc. Eigentlich reicht zur Verabreichung dieses Cocktails ein Spritzeneinstichloch in der Armbeuge aus. Aber nun ja, was soll ich sagen? Ich habe es noch nie so wirklich erlebt, dass irgendwer auch auf Anhieb wirklich hinbekommen hat. Und so bin ich bisher jedes Mal mit einigen Einstichlöchern aus der Praxis hinausgelaufen. Ist ja nicht so, dass das überhaupt gar nicht weh tut in der Armbeuge mit so langen Nadeln etc. :haue:
Außerdem wollte ich immer schon mal an meinem 30sten Geburtstag dann aussehen wie ein Drogenjunkie mit mehrfach verstochenen Armbeugen!!! Dass die das hier nie mit einmal Stechen hinbekommen – versteh ich echt nicht. Ich glaub ich muss die das nächste Mal dort fragen ob ich mir die Spritze selbst setzen kann :zwinker:
Wie unschwer herauszulesen mag ich diese MRT Tage nicht besonders. Sowieso nicht, wenn dann mein Untermieter auch noch auf den Bildern fast die halbe Hirnfläche ausfüllt. Ich hasse meinen Untermieter echt übelst, aber wie schon längst bekannt werde ich ihn auch in meiner ab Samstag beginnenden neuen Lebensdekade behalten müssen.
Je nach dem wie morgen früh meine Armbeugen aussehen (bestimmt mal wieder ziemlich blau und grün) werde ich Euch hiervon auch noch ein Bild einstellen.
Morgen ist bei mir noch die Backstube eröffnet und ich werde die drei Torten backen von denen ich im letzten Blogartikel geschrieben habe. Rezepte und Bilder folgen dann auf alle Fälle hier.
Bis dahin wünsch ich Euch noch einen schönen Abend.
Liebe Grüße
– Michaela











1 Comment
Steffi
14. April 2012 at 16:16Mir wird jedesmal ganz schlecht, wenn du wieder neue Bilder zeigst. Du nimmst das alles so leicht und locker… Du hast meinen vollsten Respekt!!!! *drück*