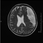
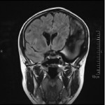
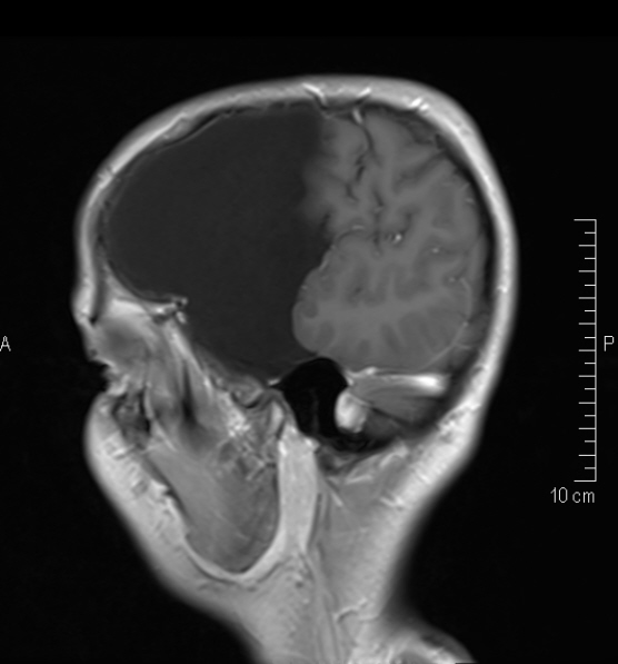
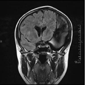
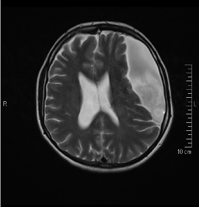
Hatte ja gesagt dass ich heute MRT Termin habe. Ich denke ich stell einfach mal von jeder Perspektiven Serie ein Bild ein und dann könnt ihr Euch selbst eine Meinung bilden ob gut oder schlecht. Einfach auf das Bild klicken, dann seht ihr es etwas größer.
Ich denke es ist nicht so ganz zu übersehen welches hier der schlechte Teil ist in meinem Kopf ist und das meine Hirnmittellinie alles andere als gerade ist. Und dass sich die ganze Sache im Vergleich zu letztem Mal auch noch mal wieder ein Stückchen mehr breit gemacht hat in meinem Kopf brauch ich wohl auch nicht so ganz zu erwähnen.
Naja mein Bedarf ist für heute gedeckt. Ich denke ihr versteht das.
Liebe Grüße
– Michaela








7 Comments
patsy
7. Juli 2010 at 06:15:traurig: *in-den-Arm-nehm*
Pascall
7. Juli 2010 at 14:30Ich kann mich Patsy da nur anschließen:
Lass dich ganz lieb drücken :rot:
Alex
8. Juli 2010 at 14:07Und ich bedarf einer Aufklärung bitte… hier handelt es sich um ein MRT von einem Hund? Oder Mensch? Oder…?
Danke. Anschließend gibt es dann auch von mir noch einen weiteren Kommentar, wenn ich im Bild bin, danke! 🙂
Gruß, Alex
Michaela Estler
8. Juli 2010 at 14:55Hallo Alex,
diese MRT Bilder sind von meinem Kopf. Gehört also mir ganz alleine. Mein Hund hat schwere HD auf beiden Seiten. Aber davon hab ich kein Röntgen oder MRT Biild.
Grüße
Michaela
Alex
19. Juli 2010 at 16:17Danke für die Aufklärung.
Habe ebenfalls bereits 2-3x ein MRT von meinem Kopf machen müssen, doch gottseidank wurde nie etwas gefunden. Nächste Woche steht ein Doppler-Scan meines Halses an, bin froh wenn das durch ist, denn momentan bin ich gesundheitlich auch nicht wirklich fit. Kopfschmerzen, Schwindel seit gut 5 Monaten! :-/
Und ohne dass ich nun den ganzen Blog durchlesen müsste, gibt es eine kleine Zusammenfassung, damit ich weiss, wobei ich dir die Daumen drücken darf?
Wünsche von Herzen alles Gute,
Alex
P.S. Was Abkürzungen angeht, kann man mich in die Tonne kloppen. Daher… für was steht HD? Danke
P.P.S. Kommentare abonnieren wäre hier klasse! 😉
Alex
20. Juli 2010 at 10:26Hmm… hatte hier gestern kommentiert und nun ist der Kommentar weg?!
Bin ich etwa in die Spam-Schublade gerutscht?!
Angenehmen Dienstag,
Alex
Alaska Lawyer
26. Juli 2010 at 02:29Danke für die Aufklärung.Habe ebenfalls bereits 2-3x ein MRT von meinem Kopf machen müssen, doch gottseidank wurde nie etwas gefunden. Nächste Woche steht ein Doppler-Scan meines Halses an, bin froh wenn das durch ist, denn momentan bin ich gesundheitlich auch nicht wirklich fit. Kopfschmerzen, Schwindel seit gut 5 Monaten! :-/Und ohne dass ich nun den ganzen Blog durchlesen müsste, gibt es eine kleine Zusammenfassung, damit ich weiss, wobei ich dir die Daumen drücken darf?Wünsche von Herzen alles Gute,Alex
+1